The Prime BlogGuidance, tips and case studies for health, prevention, and treatment. Understanding Atrial Septal Defect Echo in Decision Making: Insights from Prime Diagnostic Centre’s Webinar Read More → Pobir Laru March 27, 2024 Unlocking the Mysteries of Fetal Echo: A Step-by-Step Analysis Read More → Pobir Laru March 27, 2024 Navigating the Debate: Beta-Blockers in HFpEF Read More → Pobir Laru March 27, 2024 Exploring ARNI Therapy: A Breakthrough in Resistant Hypertension Read More → Pobir Laru March 27, 2024 Rethinking Prognosis: Introducing the TRIPP Score for Ebstein Anomaly Read More → Pobir Laru March 27, 2024 Rethinking PA Pressure Assessment: Insights from Echocardiography Read More → Pobir Laru March 27, 2024 Advancing Mitral Regurgitation Assessment: Beyond Color Doppler Read More → Pobir Laru March 27, 2024 Revisiting the Role of the Moderator Band in Echocardiography Read More → Pobir Laru March 27, 2024 Understanding Mitral Annular Disjunction: Symptoms, Diagnosis, and Treatment Read More → Pobir Laru March 27, 2024 Unlocking Insights: Mastering Fetal Echo in Conotruncal Anomalies Read More → Pobir Laru March 27, 2024 Unveiling Post-STEMI Complications: LV Thrombus vs. Intra-Myocardial Dissection Hematoma Read More → Pobir Laru March 27, 2024 Demystifying Low Flow Aortic Stenosis: A Clear and Simple Guide Read More → Pobir Laru March 26, 2024 ← Previous Page1 Page2 Page3 Page4 Page5 Next →
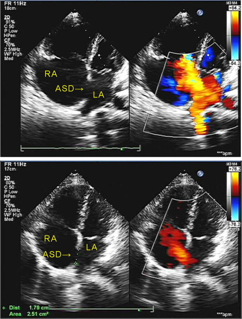
Understanding Atrial Septal Defect Echo in Decision Making: Insights from Prime Diagnostic Centre’s Webinar Read More → Pobir Laru March 27, 2024
Exploring ARNI Therapy: A Breakthrough in Resistant Hypertension Read More → Pobir Laru March 27, 2024
Rethinking Prognosis: Introducing the TRIPP Score for Ebstein Anomaly Read More → Pobir Laru March 27, 2024
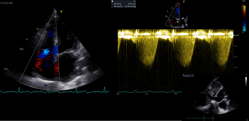
Rethinking PA Pressure Assessment: Insights from Echocardiography Read More → Pobir Laru March 27, 2024
Advancing Mitral Regurgitation Assessment: Beyond Color Doppler Read More → Pobir Laru March 27, 2024
Understanding Mitral Annular Disjunction: Symptoms, Diagnosis, and Treatment Read More → Pobir Laru March 27, 2024
Unlocking Insights: Mastering Fetal Echo in Conotruncal Anomalies Read More → Pobir Laru March 27, 2024
Unveiling Post-STEMI Complications: LV Thrombus vs. Intra-Myocardial Dissection Hematoma Read More → Pobir Laru March 27, 2024
Demystifying Low Flow Aortic Stenosis: A Clear and Simple Guide Read More → Pobir Laru March 26, 2024